How Many Sandwiches are in Your Body? A Recipe for Joint Pain

Vincent Hanneken, PT/Owner
By Vincent Hanneken, PT/Owner

How Many Sandwiches are in Your Body? A Recipe for Joint Pain
The Sandwich Effect: What is it?
What kind of title is that? Are we talking about PB&J or ham and Swiss on rye? Actually no, we’re not talking about lunch. Instead, the word sandwich is a descriptive way to explain some not-so-tasty events that occur in the body when one area becomes compressed and overworked because the areas above and below it are not moving or doing their job adequately.
Over time, these compensations create the “sandwich effect” — excess stress placed on an overused area because neighboring regions have lost proper motion.
After nearly 40 years of looking at thousands of backs, hips, and other joints, a consistent pattern emerges: the body compensates. Over time, these compensations create the “sandwich effect” — excess stress placed on an overused area because neighboring regions have lost proper motion.
We sometimes forget the complexity that each motion takes. Muscles create movement by shortening their fibers through activation from the nervous system. For a variety of reasons, muscles can become overly tight. When this happens, they interfere with joint movement and flexibility. Over time, restricted motion leads to stiffness, and joints lose their ability to contribute effectively to daily activities.
The Lower Back: A Classic Sandwich
Consider the very frequently created sandwich in our lower back. There is nothing mouth-watering about this situation. In fact, because of too much stress, the lower back is one of the most frequent sites for injections and surgeries aimed at keeping people functional. It is a major wear zone in the body, which raises an important question: why?
The lower back is commonly sandwiched between a restrictive pair of hips below and a tight thoracic/rib complex above.
The sandwich analogy is one way to explain how a lack of movement elsewhere places excessive demands on the lower back. With better awareness and proactive preventative steps, the average American could significantly reduce their risk of becoming another surgical statistic!
It is an unfortunate fact that our lower back is commonly sandwiched between a restrictive pair of hips below and a tight thoracic/rib complex above. The hips are ball-and-socket joints designed for rotation, and the thoracic spine (the 12 spinal segments above our 5 lumbar vertebrae) is also well designed for rotational movement.
Rotational movements are a normal and necessary part of daily life. In the spine and hips alone, even just walking requires it, along with more dynamic activities like golf, softball, tennis, and running. Over time, however, the hips and thoracic spine tend to lose motion. When this happens, the lumbar spine attempts to compensate by taking on more movement.
The problem is that the lumbar spine is not designed to handle excessive rotation. Compared to the hips and thoracic spine, it is poorly suited for this role. As a result, compensatory motion in the lower back eventually leads to degenerative changes.
The consequences include reduced disc height (commonly referred to as degenerative disc disease, or DDD) or spinal stenosis, where nerve openings narrow and cause leg or hip pain.
In effect, the lumbar spine becomes sandwiched between two major motion areas that have lost mobility, forcing it to work harder. “Working harder” doesn’t just mean performing its normal duties more often, but also taking on additional rotational demands to make up for what is lost in the region above and below it. And, since most Americans will be getting weaker in key muscles groups like the abdominals, we have this negative influence compounding the degenerative lumbar stresses more.
The abdominal muscles are a key group when it comes to protecting the back. Under these conditions, the back often becomes tighter and more vulnerable, increasing the likelihood of a “tweak” or a more serious injury during everyday activities.
The Sandwich Effect Elsewhere in the Body
Pain becomes the steady diet when sandwiching effects go unnoticed.
This is a tough sandwich to swallow when pain becomes the steady diet. While the lower back is the classic example of the sandwich effect, it is also commonly seen in the lower neck. In that case, a stiff thoracic spine below and a tight upper cervical spine above compress the lower neck, accelerating degeneration and often leading to chronic pain, numbness, or tingling.
The same concept applies to the knee, which can become sandwiched between a tight ankle and a restricted hip. The knee has very limited tolerance for rotational stress, yet it is forced to absorb more of it when the joints above and below are not doing their share. Over time, this can contribute to accelerated degenerative arthritis.
Prevention and Long-Term Health
These sandwiching effects develop slowly and quietly, which makes them easy to overlook. Because the process is so insidious, it is often not appreciated until significant damage has already occurred. Physical therapists are trained to evaluate the entire movement system, or the “kinetic chain” as it is termed.
Education and targeted exercise are key to keeping your joint age younger than your chronological age.
We answer the key questions when it comes to identifying a bad sandwich: “How do these areas relate to each other?” and “Is this region supporting or antagonizing its neighboring zones?”
Education and targeted exercise are key to keeping your joint age younger than your chronological age. The sooner someone adopts a program that helps the lower back, neck, or knee reduce compensatory workload, the more those wear zones benefit from preventative care.
Yes, such a program requires commitment, but the rewards are so far-reaching, it would be hard not to see the value. Pain-free movement opens the door to a host of benefits. It improves your ability to manage weight and metabolic health, two major challenges for adults over 40, and helps keep you engaged in the activities you enjoy, whether that’s golf, gardening, or simply walking.
Protecting your wear zones becomes increasingly important as the decades add up. Healthier joints provide the basis for a more active future, one that is more in your control.
Full Potential’s physical therapists are skilled at evaluating your kinetic chain. Not only would that be a great start to a better 2026, but what about a better 2030 and beyond? Take control of your musculoskeletal health — call Full Potential and let’s get started.

Success Story
Brenda V.
I can walk again! I can do most activities relatively pain free. From being non-weight bearing after surgery, that’s so wonderful. Staff is amazing at Full Potential. They listen and tailor the treatment to my needs.

All this talk about sandwiches
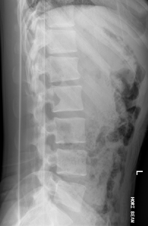
With all this talk about sandwiches, it’s helpful to compare a fresh “ham and cheese on rye” to one with “heavy mileage” to really understand the flavor of what we’re discussing. Since a picture is worth a thousand words, we’ll use some visual support to drive this sandwich point home. Even without experience reading X-rays, it’s easy to see which of these two spines would feel better playing golf, pickleball, or planting the garden.
The Real Value in Your Joints
In the world of joints, there is a consistent truth: the gold of our musculoskeletal system is the space between our joints. That space is extremely valuable, especially with the price of gold/ounce these days.
When a joint gets sandwiched between two areas that don’t move well, it is ripe for excessive compression and torsion (twisting). Over time, this constant stress wears down cartilage and discs, shrinking the space between. You may have heard doctors use the term “bone on bone” to describe backs, knees, and other joints. It’s a compelling description of what happens when the “gold” has disappeared, and your joints no longer have the space or cushioning between them for smooth, pain-free movement like they used to.

Reading the Evidence
For some proof, let’s take a look at the X-ray with the numbering. Focus on the segment labeled L4-L5 and notice how little space remains between those vertebrae. That tight gap signals advanced degeneration and a spine under constant stress. It is a severe degenerative condition, and there is not much “gold” there! Look one level higher in the degenerative spine and you’ll see additional disc loss. At L2, the vertebra has shifted forward on L3, adding another layer of strain the body must manage.
Now compare it to the second X-ray. The difference is clear. There’s visible space between the vertebrae, that is a spine that has not been sandwiched!

Changing the Future of Your Spine
If you want a future with more control over your joint health, and not only more options to participate in the activities you enjoy, but more comfort as well, the most dependable path forward is to invest in a program that addresses your specific needs.
Even if you have some degeneration, reducing stress on the affected joints, or we could call it de-sandwiching them, can lead to meaningful improvements in pain, mobility, and confidence in movement. When the right exercises are practiced consistently, pressure decreases, function improves, and the spine gets a chance to move away from constant irritation.
A Fresh Year, A Better Spine
Our bodies are remarkably adaptable. But the longer stress has been present, the more patience and consistency it takes to unwind it. There truly are no free lunches! But who wants a diet of these sandwiches — too many and the spine starts to resemble our uncomfortable friend in the X-ray.
It’s 2026, a fresh new year, and a great time to make a smart investment in your spine. Add some “gold” back between those joints and open the door to a more active, comfortable future.
Best to you in ‘26
Vince
Ask a PT
Welcome to our “Ask a PT” feature! This is your go-to spot in the newsletter to get real answers to everyday questions about the body, movement, and feeling your best. Whether you’re dealing with an injury, wondering how to stay active, or just curious about how physical therapy works, our team of physical therapists is ready to help. Each month we’ll share responses, tips, and answers based on questions from you, so if there’s something you’ve been wondering about, don’t be shy! Send it in – we’d love to hear from you!
Recent Q and A!
Q: I’ve had back pain for quite some time. I’ve already had injections done in my back to help with the pain levels. Is it too late to do physical therapy? Will it help anything at this point?
A: The short answer is no! It is not too late for physical therapy, and it may be a perfect complementary treatment to support the injections.
Even if you’ve had back pain for a long time or needed injections to calm things down, PT addresses what injections can’t: strength, mobility, posture, and most importantly, identifies and correct the compensations occurring, you know “the sandwiches” in the spine. An injection only calms the inflammation, which can be very helpful but PT helps correct why the area needing injected is breaking down by addressing the deficits related to tightness, weakness and misalignment.
Q: Why does physical therapy require more than one visit? Why can’t I just take my exercises home and follow up after a few weeks?
A: This is a very reasonable question, and one that many people ask.
While home exercises are an important part of physical therapy, they’re only one piece of the process. Physical therapy requires more than one visit because your body needs guidance, progression, and adjustment along the way. Early visits ensure you’re doing exercises correctly and targeting the right areas rather than compensating in ways that can slow progress or increase pain.
One of the big reasons you’ll need multiple visits at the start of your care is manual therapy, which is the hands-on treatment your physical therapist provides. Techniques like joint mobilization, soft tissue work, assisted stretching, and myofascial release help reduce pain, improve mobility, and prepare your body to move better. These are things you can’t replicate at home, and they often make your exercises more effective by allowing your body to move more normally.
As your symptoms improve, your needs change. Follow-up visits allow your therapist to reassess how your body is responding, modify your exercise program, add new challenges, and use hands-on techniques to “read” how your body responds to these changes. This ongoing feedback loop is what helps turn exercises into real, lasting improvements.
Think of PT like learning a skill rather than getting a prescription. Having professional input throughout the process improves results, speeds recovery, and helps prevent setbacks. If you want to get the most out of your exercises, and make sure they’re actually working for you, those visits in between are essential!

Avocado Toast with Egg
- 1 slice of whole-grain bread (toasted)
- 1/2 ripe avocado
- 1 egg (poached, fried, or hard-boiled)
- Salt, pepper, and red pepper flakes (optional) to taste
- A squeeze of lemon juice
Instructions:
- Toast the bread: Toast your slice of whole-grain bread until golden brown.
- Mash the avocado: While the bread is toasting, mash the avocado in a small bowl with a fork. Mix in a squeeze of lemon juice and a pinch of salt and pepper.
- Cook the egg: Cook your egg to your preference (poached or fried in a little olive oil works well).
- Assemble: Spread the mashed avocado onto the toast. Top with the cooked egg.
- Season: Sprinkle with a little more salt, pepper, and red pepper flakes if you like a kick. Enjoy!
Why it’s heart-healthy:
Egg: Provides high-quality protein.
Whole grains: Good source of fiber.
Avocado: Loaded with heart-healthy monounsaturated fats.
Exercise of the Month
Towel Curls
(Feet, Toes, Arches)
Sit in a chair with your feet flat on the floor and a small towel placed under your toes. Using only your toes, scrunch the towel toward you, curling and gripping it with your feet. Relax and repeat. This strengthens the foot muscles and supports arch control. 3 Sets, 10 Reps. (Materials needed: chair, small towel)
Let’s Get You Better ASAP!
Don’t let pain dictate your life. Take the first step towards reclaiming your mobility and well-being with our expert support. Start your journey to a healthier you today.






